Lợi ích từ Niềng Răng Zava Tesla thì phải kể đến: Bảng Giá Chi Tiết & Yếu Tố Ảnh Hưởng Là Gì???
Niềng răng trong suốt Zava Tesla là phương pháp chỉnh nha hiện đại, giúp cải thiện hàm răng mà vẫn giữ được tính thẩm mỹ trong suốt thời gian chỉnh nha. Tuy nhiên, chi phí niềng răng trong suốt là một trong những vấn đề được nhiều người quan tâm nhất. Hãy cùng tìm hiểu chi tiết về giá cả và những yếu tố tắc động đến chi phí niềng răng trong suốt của hãng Zava Tesla nhé!

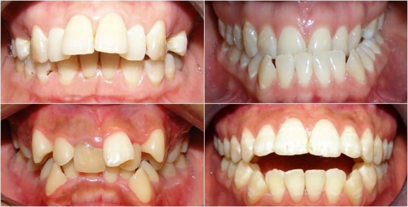
1. Niềng Răng Trong Suốt Là Gì?
Niềng răng trong suốt Zava Tesla là phương pháp chỉnh nha sử dụng hệ thống khay trong suốt để điều chỉnh răng một cách dần dần. Điểm nổi bật của phương pháp này chính là tính thẩm mỹ cao, thoải mái khi đeo và dễ dàng vệ sinh.
2. Chi Phí Niềng Răng Trong Suốt Bao Nhiêu Tiền?
Chi phí niềng răng trong suốt Zava Tesla phụ thuộc vào nhiều yếu tố khác nhau, bao gồm tình trạng răng, dạng khay niềng và địa điểm nha khoa. Trung bình, chi phí dao động trong khoảng:
- Niềng răng trong suốt Zava Tesla: giá dao động từ 35 – 90 triệu VNĐ

Chi phí trên chỉ mang tính chất tham khảo và có thể thay đổi tùy thuộc vào địa điểm nha khoa và tình trạng răng của từng người.
3. Các Yếu Tố Ảnh Hướng Đến Chi Phí Niềng Răng Trong Suốt Zava
Tình Trạng Răng
- Răng lệch lạc nặng, hô, móm hoặc khẩp nghiêm trọng sẽ có chi phí cao hơn.
- Càng nhiều khay niềng, giá càng tăng.

Loại Khay Niềng
- Zava Tesla – Giải pháp niềng răng trong suốt tiên tiến Tiêu chuẩn Châu Âu, sản xuất ngay tại Việt Nam, đồng thời là thương hiệu nổi tiếng, đảm bảo chất lượng. Với ZAVA TESLA, bạn sẽ trải nghiệm dịch vụ niềng răng hiện đại, nhanh chóng và tiết kiệm hơn so với các sản phẩm nhập khẩu.
- Cam Kết Chất Lượng: Đối với bất kỳ sản phẩm lỗi nào, sẽ được ZAVA TESLA bảo hành 1 ĐỔI 1, chất lượng, uy tín đặt lên hàng đầu và sự hài lòng tuyệt đối cho khách hàng.
- Bảo Hành Hiện Đại: Chúng tôi áp dụng công nghệ điện tử 4.0, cho phép bảo hành sản phẩm trên toàn hệ thống một cách nhanh chóng và tiện lợi.
- Hỗ Trợ Truyền Thông: Khách hàng sẽ được hỗ trợ hình ảnh liên quan đến sản phẩm và hưởng lợi từ chương trình truyền thông Marketing của ZAVA TESLA.
- Quản Lý Trực Tuyến: Khách hàng sẽ được cung cấp quyền admin để sử dụng và quản lý Nha Khoa của mình trên các nền tảng web-app như zavadental.com và zavadental.vn
- Kiểm Soát Chi Nhánh: Với nền tảng ứng dụng của ZAVA TESLA, bạn có thể dễ dàng điều hành, quản lý và kiểm soát chi nhánh Nha Khoa của mình.
Địa Điểm Nha Khoa
- Nha khoa uy tín, bác sĩ giỏi thường sẽ có chi phí cao hơn.
- Cơ sở vật chất hiện đại, dụng cụ tân tiến cung cấp dịch vụ chất lượng hơn.

4. Có Nên Niềng Răng Trong Suốt?
Ưu Điểm:
- Thẩm mỹ cao, không lộ khay niềng.
- Thoải mái, dễ tháo lắp.
- Hạn chế được việc gây tổn thương nướu.
Nhược Điểm:
- Chi phí cao hơn niềng răng mắc cài kim loại.
- Yêu cầu đeo đúng thời gian để đạt hiệu quả.
5. Kết Luận
Niềng răng trong suốt là lựa chọn tối ưu cho những ai muốn chỉnh nha mà vẫn giữ được tính thẩm mỹ. Tuy nhiên, chi phí niềng răng trong suốt sẽ dao động tùy thuộc vào nhiều yếu tố. Để biết được chi phí chính xác nhất, bạn nên tới trực tiếp nha khoa uy tín để được tư vấn chi tiết.

